乳腺線維腺腫 (にゅうせんせんいせんしゅ、英: Fibroadenoma)は、性成熟期の女性の乳房に発生する良性乳腺腫瘍である(ICD10コード:D24 乳房の良性新生物 ICD-Oコード:9010/0)。自己触診で乳腺の弾力のあるしこり(英: lump)として触れることができる。乳がん検診でもマンモグラフィーで境界明瞭な類円形透亮像または粗石灰化を伴う腫瘤として検出されることが多い。線維腺腫から癌が発生することはほとんどない。画像診断で癌との鑑別が困難な例では,穿刺吸引細胞診や針生検による病理検査の対象となる。大多数は未治療のまま経過し閉経期を過ぎると自然退縮することが多い。
疫学
良性病変であり正確な有病率は把握できないが、良性乳腺疾患の中では乳腺症と並んで最も頻度の高い疾患である。一般的に触知可能な腫瘤は20-30歳代に多く、マンモグラフィーで偶然発見される非触知腫瘤は40歳代から閉経期以後に多い。
症状
弾性に富み可動性良好な乳腺腫瘤として触知される。両側乳腺に複数の腫瘤が同時または異時性に発生することもある。長径2cm内外の腫瘤がほとんどだが,若年者では長径5cmを超える大型の線維腺腫(英: Giant fibroadenoma)も認められる。妊娠や授乳期には腫瘤の増大が認められる。閉経期前後では自然退縮し長径1cm前後の円形ないしポップコーン形の石灰化腫瘤としてマンモグラフィーで検出される。
病理組織学的特徴
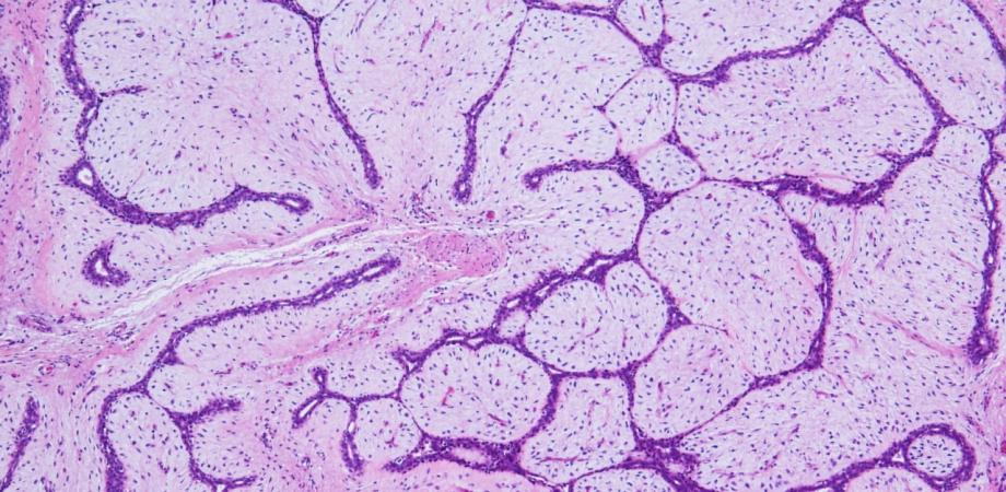
周囲の乳腺組織との境界明瞭な円形ないし分葉状の病変を形成する。紡錘系から星芒形の間質細胞(fibroblastic stroma cell)の増殖が主体で、不規則に分岐した終末乳管や腺葉が島状に分布するパターンを示す。間質細胞には稀に大型多形細胞が出現する。乳管上皮は筋上皮細胞との二相性が明瞭である。月経周期に応じて乳管上皮の機能形態が修飾されるので、臨床医には月経周期の記載を求めるのが望ましい。
組織像の多様性に基づいて、管内性・管外性・乳腺症性の3亜型に分類する場合がある。特に乳腺症性線維腺腫は穿刺吸引細胞診で複雑な細胞組成を示す例が多く、癌との鑑別困難な例もある。
腫瘍発生論
乳腺線維腺腫のような上皮と間質細胞の両方が同調性に増殖する疾患では、どの細胞成分が腫瘍性増殖(クローン性増殖)の主体であるかが問われる。遺伝子再構成などの結果では間質細胞が単クローン性、乳管上皮成分は多クローン性という研究結果が報告されている。今後の研究動向に注目する必要がある。
治療
がん化はしないため、小さな線維腺腫の場合には手術をする必要はなく、薬による治療方法もない。しかし、しこりが大きくなった場合や乳房の見た目が変わった場合、痛みがある場合などは切除による治療が勧められる場合もある。
鑑別疾患リスト
- 乳腺症
- 葉状腫瘍
- 乳管内乳頭腫
- 乳頭下腺腫
- 乳腺線維症
- 肉芽腫性小葉乳腺炎
- 乳癌
脚注
参考文献
- Cotran RS, Kumar VK, Collins T (ed.) Robbins’ Pathologic Basis of Disease. 6th ed, W.B.Saunders Co. ISBN 072167335X (1999)
外部リンク
- メルクマニュアル乳腺腫瘍
- [1]NCIの乳腺疾患啓蒙文書(PDFファイル、1.65MB)



